스케일링 주기! 매년 받아야 하는 이유! 12월엔 스케일링하자
- 복지꿀팁
- 2023. 12. 6.
스케일링 주기 1년에 한 번, 혹은 1년에 두 번 어느 것이 맞을까요? 결론부터 이야기하면 최소 1년에 한 번은 반드시 해야 한다는 사실입니다. 그리고 더 관리하겠다고 한다면 6개월에 한번씩 하면 좋습니다. 게다가 1년에 한 번 스케일링을 할 경우 건강보험으로 저렴하게 할 수 있다는 것도 혜택이 있으니 안 할 이유가 없습니다.
치과의사들은 치석관리를 6개월에 한 번 해야 한다고 이야기하고 있습니다. 그래서 1년에 2번 건강보험을 적용해 달라고 하는 상황이지만 현재 1년에 한 번만 적용이 되고 있는 상황입니다.
연간 1회 스케일링, 왜 필수일까?
스케일링은 단순한 치과 방문이 아니라, 구강 건강을 유지하는 필수적인 관리 방법 중 하나입니다. 치주질환의 주요 원인 중 하나인 치석을 제거하고, 치아와 잇몸의 건강을 오래도록 유지하기 위해 정기적인 스케일링이 필요합니다. 여기에는 몇 가지 중요한 이유가 있습니다.

1. 치석 제거와 구강질환 예방
스케일링은 치태와 치석을 제거하여 구강질환을 예방하는 시술입니다. 치석은 칫솔질로 제거하기 어려운 경화된 치태로, 이를 제거하지 않으면 치주질환의 위험이 증가합니다.
치석은 칫솔질로 없어지지 않다는 점을 아셔야 합니다.
2. 건강보험 혜택 이용
국민건강보험공단은 스케일링에 건강보험을 적용하여, 만 19세 이상의 건강보험 가입자는 연 1회에 한해 저렴한 비용으로 스케일링을 받을 수 있습니다. 이를 통해 비용 부담 없이 구강 건강을 관리할 수 있습니다.
실제 납부 비용은 1만 3천원 정도의 비용을 납부하면 됩니다.
오랜만에 병원을 가서 치료했다면 엑스레이 같은 것도 찍을 수 있는데 이 경우 2만원 남짓이면 스케일링까지 할 수 있습니다.
1년에 2만원 정도로 치아 관리를 해도 충치나 치아의 문제점을 미리 알아낼 수 있어서 나중에 큰 돈 들어갈 일이 적어지겠지요?

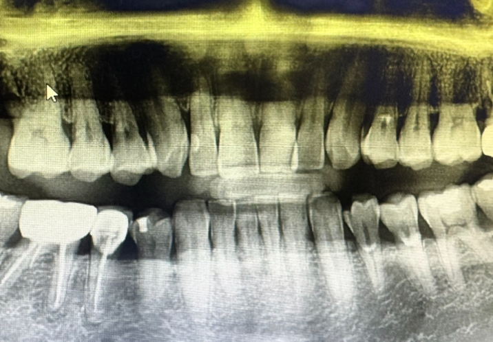
왼쪽위와 오른쪽위 치아 안쪽이 많이 노출된 상황으로 보인다거나 치석이 많이 끼는 형태의 치아이니 1년에 두 번 스케일링을 하는 것이 좋겠다는 치과의사의 의견을 들을 수 있어 치아관리에 매우 도움이 됩니다.
3. 일반건강검진과 연계
일반건강검진 시 실시되는 구강검진은 치아검사와 치주조직검사 등을 포함합니다. 이를 통해 치과병력과 구강건강 습관에 대한 진단이 가능하며, 평소 구강 관리의 부족한 부분을 파악할 수 있습니다.
정 시간 내기 어려운 사람들은 건강검진 시에 치과 점검(눈으로만 보는 수준이지만)하면서 스케일링을 하고 싶다고 하면 바로 그자리에서 해주는 경우도 있더군요.
이럴 기회라도 꼭 스케일링 받으시기 바랍니다.
4. 영유아 구강검진의 중요성
영유아기에는 구강검진이 특히 중요합니다. 총 4회에 걸쳐 실시되는 영유아 구강검진은 치아우식증(충치) 및 구강위생 상태를 평가하고, 필요한 구강보건교육을 제공합니다. 건강보험에서 제공되니 이것도 빠지지 않고 챙겨서 검진을 받으세요.
치아 건강은 전반적인 건강 상태에 큰 영향을 미칩니다. 따라서 스케일링과 같은 정기적인 구강 관리는 건강한 삶을 위해 필수적인 요소입니다. 이를 통해 치주질환을 예방하고, 장기적으로 건강한 치아를 유지할 수 있습니다.
함께 읽으면 좋은 글
김창옥 알츠하이머 치매 - 어떤 신호를 주의해야 하나?
임영웅 콘서트 예매 방법, 가격, 일정 | 2024 월드컵경기장 단독 콘서트